Dentistry Palm Bay

River Oak Dental

Dentistry Palm Bay
Call today

Address
2186 Harris Avenue Northeast
 
Suite 3
Place
Palm Bay, FL   32905 
Landline
(321) 723-2620
E-Mail
office@riveroakdental.com
E-Mail
marc@riveroakdental.com
Facebook
RiverOakDental
Website
www.riveroakdental.com
Reservations
patient.portal.archy.com

Description

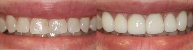
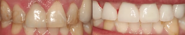
At River Oak Dental, patients discover a caring dental home where expertise and technology converge. The practice specializes in general dental care, aesthetic enhancements, sleep-apnea treatment and implant-restorative solutions—guided by Dr. Marc Christy. By combining modern tools with an attentive, personalized approach, the team fosters comfortable experiences and confident smiles for individuals and families in the Palm Bay area.

Keywords Best Dentist Palm Bay, Dental Implants Palm Bay, Root Canal Therapy Near Me, Oral Surgery Palm Bay, Periodontal Maintenance Palm Bay, Professional Teeth Whitening Near Me, Dentist Palm Bay, Emergency Dentist Palm Bay, Preventative Dentistry Palm Bay, Family Dentistry Palm Bay, Veneers Palm Bay, Dental Crowns Palm Bay, Restorative Dentistry Palm Bay, Fluoride Treatment Palm Bay, Invisalign Palm Bay, Tooth Extractions Palm Bay, cosmetic dentistry Palm Bay.

Reviews

This listing was not reviewed yet:

Opening hours

Payment Options

Visa , Financing , MasterCard

Categories

Dentistry
(321)723-2620 (321)-723-2620 +13217232620

Map 2186 Harris Avenue Northeast

Loading map...